Det var et tilfeldig innlegg på Facebook som startet prosessen som skulle ende i nye tenner for norske Tone.
Der så hun at tannlegeklinikken Soldent tilbyr gratis konsultasjoner i Oslo, før man eventuelt tar selve tannbehandlingen i Budapest.
I Budapest er tannbehandling nemlig 50 til 70 prosent billigere enn i Norge, som fort kan bety at behandlingen koster titusenvis av kroner mindre.
I tillegg er Soldent registrert i Helfo, og dette kvalifiserer for refusjon. Dette kan du lese mer om her.
Samtidig er klinikker som SolDent proffe og trygge. Mange nordmenn reiser til den vakre byen for å kombinere en miniferie med rimelig tannbehandling av høy kvalitet.
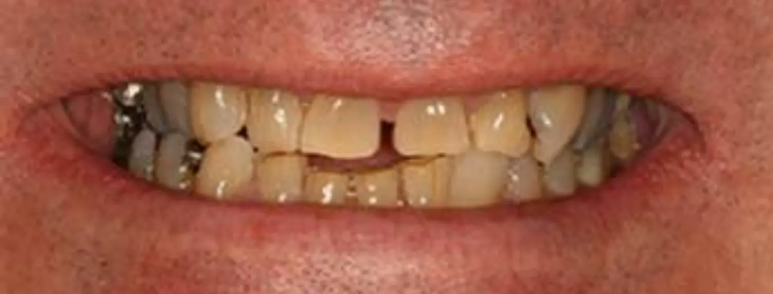
Skadede tenner
- Når jeg så annonsen tenkte jeg at jeg hadde veldig lyst til å reise ned til Budapest, fordi jeg visste at det var mye billigere enn tannlege i Norge. Men jeg hadde aldri reist hvis SolDent ikke hadde kommet til Oslo, forteller Tone.
Mange år med tannlegeskrekk og tanngnissing resulterte i at hun slet med tre skadede tenner i nedre kjeve. Tone kontaktet SolDent. De ba henne om å sende over røntgenbilder av tennene. Snart inviterte de henne til konsultasjon i Oslo, hvor tennene ble undersøkt.
Deretter mottok hun informasjon og forslag om ulike mulige tannbehandlinger, og hva det kostet. - Fordi jeg har tannlegeskrekk føltes det veldig trygt å gjøre det på den måten, forteller Tone.
Et lite stykke Norge i Budapest
SolDents erfarne tannleger og kirurger har behandlet norske og skandinaviske pasienter i 15 år.
Dr. Zoltán Oláh, tannlege og spesialist i konservative og proteseteknikk
En av SolDents to stiftere. Universitetsutdannet i Budapest, uteksaminert Summa Cum Laude, med høyeste utmerkelse. Har jobbet med norske pasienter siden 2007, og har alle nødvendige lisenser som spesialist innen rekonstruktiv rehabilitering av tenner i Norge.
Dr. Gábor Nemes, tannlege og spesialist i konservative og proteseteknikk
Den andre av SolDents to stiftere. Dr. Nemes er også universitetsutdannet i Budapest med Suma Cum Laude, med høyeste utmerkelse. Praktiserte som assosiert privat tannlege i England i 2005-2008. Jobbet i en veletablert privat praksis. Dr. Nemes er kreativ og tar initiativet til å finne den beste løsningen for pasientene.
SolDent har også de norsktalende konsulentene Sophia og Kata, som begge tidligere har bodd i Norge i mange år. De sørger for smidig kommunikasjon med de mange norske kundene som får behandling. I tillegg snakker selvfølgelig alle hos SolDent engelsk.
Bli med Kata på en liten omvisning i klinikken i Budapest!
Slik fungerer det
Først melder du deg på en gratis konsultasjon i Oslo. Etter konsultasjonen får du et detaljert behandlingstilbud som du vurderer, før du eventuelt booker turen til Budapest.
I Budapest disponerer SolDent leiligheter og hotellrom som de kan booke for kunder. Alternativt kan du selvsagt også bestille overnatting selv.
På flyplassen kan du bli hentet av SolDents sjåfør, som kjører deg dit du skal.
Deretter handler det ganske enkelt om å la SolDent gi deg smilet ditt tilbake, mens du nyter alt Budapest har å by på mellom behandlingene.
Nyt livet som tannturist i Budapest
Når du har fritid i løpet av oppholdet ditt, kan du nyte en av Europas aller vakreste byer!
De berømte termiske badene, fine historiske bygninger og verdensarvsteder, vakre Donau som slynger seg gjennom sentrum, rustikke puber, koselige kafeer, god vin og fantastisk mat.
Dette er bare noen av opplevelsene Budapest byr på. SolDent anbefaler gjerne aktiviteter og steder som er verdt å besøke.
Det er ikke uten grunn at Budapest er et yndet reisemål for nordmenn.
Tilbyr Helfo-refusjon
SolDent er registrert hos norske Helfo.
Det betyr at mange typer tannbehandling kvalifiserer for refusjon fra Helfo. Slik får du samme fordeler som ved behandling i norge, til en brøkdel av kostnaden.
SolDent SmileClub
Tips: SolDent har lansert en Facebook-gruppe som heter SolDent SmileClub.
Målet med gruppen er å støtte og koble sammen pasienter som har fått eller skal få tannbehandling i Budapest. Her kan man bli med for å dele erfaringer, stille spørsmål - og få nye bekjentskaper.
Gruppen tilbyr:
🔹 Erfaringer fra ekte pasienter
Kom i kontakt med pasienter som allerede har besøkt SolDent, og få førstehåndsinformasjon om behandlingene, klinikken og oppholdet i Budapest.
🔹Kom i kontakt
I denne gruppen kan du enkelt finne andre som er i Budapest samtidig som deg, og kanskje til og med planlegge en aktivtet eller en middag sammen.
🔹 Tips og råd for Budapest
Få nyttige tips om hvordan du kan bruke fritiden din mellom avtalene. SolDent anbefaler restauranter, severdigheter og aktiviteter, slik at du får mest mulig ut av oppholdet ditt.
🔹 Informasjon og nyheter
Vær den første til å få informasjon om nyheter og kampanjer fra klinikken, og få tilgang til eksklusivt innhold.
Foretrekker tannlege i Budapest
Freddy er en av de norske pasientene som setter pris på at SolDent er registrert hos Helfo.
- Nå er jeg jo så heldig å ha et par venner som har brukt dere flere ganger tidligere, og fikk anbefalinger av dem. Når jeg undersøkte så viste det seg at dere også er medlemmer av Helfo, som er betryggende for oss nordmenn, forteller han til SolDent i videoen.
Freddy foretrekker i tillegg tannlegene i Budapest, etter mange møter med norske tannleger. - Helhetsinntrykket jeg sitter igjen med etter å ha vært hos 20-30 norske tannleger… Det er jo som om det er dag og natt i forskjell, sier han.
- Tryggheten, å fortelle underveis hva det går i. Jeg leste litt om dere, tok kontakt med dere, møtte dere på konsultasjon i Oslo, så satte jeg igjen med en slik god følelse etterpå. Og at du prater norsk Kata, det er også med på å skape en trygghet for meg, forteller Freddy i videoen.
Sparte over 170.000 kroner
Freddy er imponert over innsatsen til SolDent.
- Når de fjernet de seks fortennene nede. Så effektiv og flink han kirurgen var. Jeg bare sier, wow! Det var 20-25 minutter, så var 6 tenner ute. Og noen av dem satt godt. Det at dere annonser smertefri behandling, det kan jeg gå ut og garantere at det er, forteller han.
- Og prisen, wow! Jeg slapp å ta opp lån for å komme hit. For å si det slik: Det er stor forskjell mellom 228 000 kroner for en mindre og dårligere jobb i Norge, til å komme ned hit og betale cirka 55 000 kroner, sier han.
Smil! SolDent gir pasientene smilet tilbake.
- Jeg er så glad
Tone får heller ikke rost de ansatte hos SolDent nok.
- De følger deg opp med hver minste lille ting. De passer på at du ikke har det vondt. De tar det sakte. De stresser ikke. De spør hvordan det går hele tiden. Det var kjempeviktig for meg, forteller hun.
- Tryggheten betyr mest for meg, og også økonomien. Jeg sparte kjempemye på å bruke SolDent. Skulle jeg ha gjort dette her i Norge hadde det ikke skjedd, for jeg hadde ikke hatt råd, sier hun.
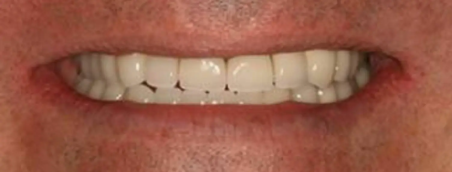
De fine nye tennene i underkjeven betyr uendelig mye for Tone.
- Jeg er så glad for at jeg har fått nye tenner, og for at det gikk så bra. Det er jeg virkelig. Jeg er kjempefornøyd. Jeg kommer gjerne tilbake senere når jeg har behov for det! Og da blir det hit til SolDent, sier hun.